Grausenburger P Echokardiographie aktuell: Hämodynamische Evaluierung beim Intensivpatienten Journal für Kardiologie - Austrian Journal of Cardiology 2006; 13 (5-6): 221-224 Volltext (PDF) Fallbeschreibung Übersicht
| ||||||||||||||||
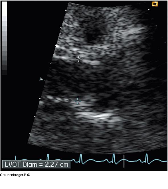
Abbildung 2: LV-Ausflußtrakt LV-Ausflußtrakt - Durchmesser (RES; von parasternal) |
Abbildung 2: LV-Ausflußtrakt
LV-Ausflußtrakt - Durchmesser (RES; von parasternal) |
