Schett G Die Rolle von Osteoklasten bei der arthritischen Knochenerosion Journal für Mineralstoffwechsel & Muskuloskelettale Erkrankungen 2003; 10 (3): 6-9 Volltext (PDF) Summary Übersicht | ||||||
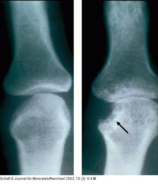
Abbildung 1: Rheumatoide Arthritis - Knochenerosion Röntgenbild einer lokalen Knochenerosion bei rheumatoider Arthritis. A. keine Erosion; B. lokale Knochenerosion (Pfeil). Auffallend ist die exzentrische Lokalisation der Veränderung, die der Schnittstelle von Knochen, Knorpel und Synovialmembran entspricht. Der subchondrale Knochen ist teilweise arrodiert und durch strahlentransparentes Entzündungsgewebe ersetzt. |
Abbildung 1: Rheumatoide Arthritis - Knochenerosion
Röntgenbild einer lokalen Knochenerosion bei rheumatoider Arthritis. A. keine Erosion; B. lokale Knochenerosion (Pfeil). Auffallend ist die exzentrische Lokalisation der Veränderung, die der Schnittstelle von Knochen, Knorpel und Synovialmembran entspricht. Der subchondrale Knochen ist teilweise arrodiert und durch strahlentransparentes Entzündungsgewebe ersetzt. |
