Wallner H Fallbericht: Primäre PCI bei akutem Vorderwandinfarkt und kardiogenem Schock bei einer 94jährigen Patientin mit Hauptstammbeteiligung mit intraaortaler Ballonpumpengegenpulsation (IABP) Journal für Kardiologie - Austrian Journal of Cardiology 2006; 13 (7-8): 260 Volltext (PDF) Fallbeschreibung Übersicht
| ||||||||||||||||||
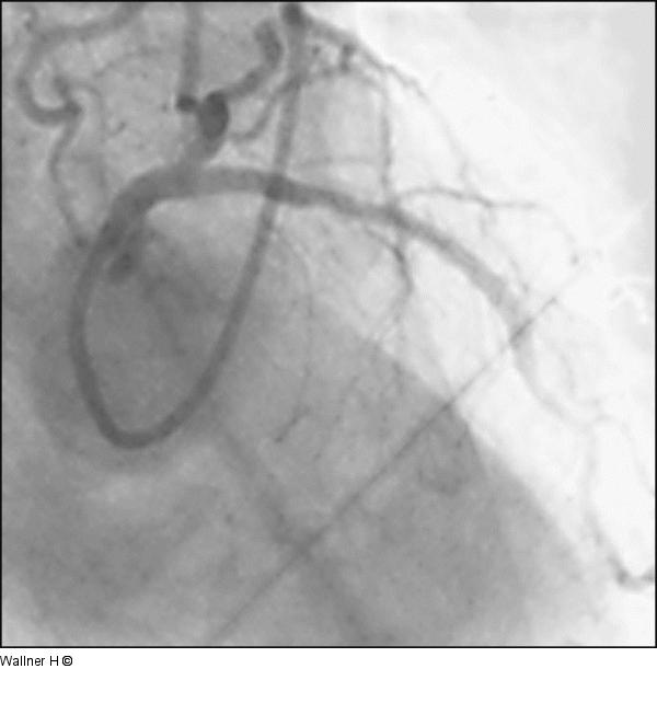
Abbildung 8: Kissing-Ballon - Mid-LAD-Stent Abschließendes Resultat nach Kissing-Ballon und nach Mid-LAD-Stent (initiale PCI). |
Film starten
Abbildung 8: Kissing-Ballon - Mid-LAD-Stent
Abschließendes Resultat nach Kissing-Ballon und nach Mid-LAD-Stent (initiale PCI). |
