Loewenhardt B, Schlick RW Frühe bildgebende Diagnostik der emphysematösen Pyelonephritis mit gangräneszierender Destruktion und Sepsis Journal für Urologie und Urogynäkologie 2003; 10 (3) (Ausgabe für Österreich): 31-34 Journal für Urologie und Urogynäkologie 2003; 10 (3) (Ausgabe für Deutschland): 28-31 Journal für Urologie und Urogynäkologie 2003; 10 (3) (Ausgabe für Schweiz): 29-32 Volltext (PDF) Summary Übersicht | ||||||||||
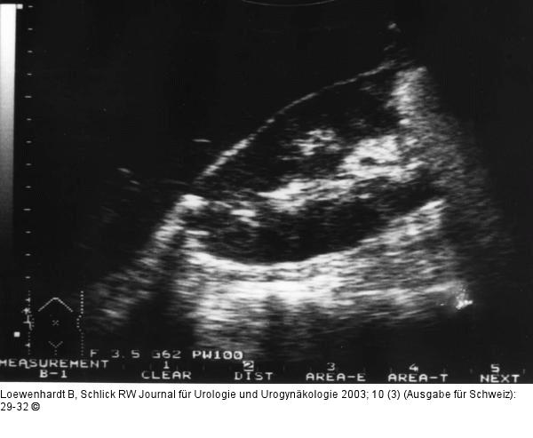
Abbildung 5: Emphysematöse Pyelonephritis Sonographie der rechten Niere. Echogene Formation am Oberpol mit Schallschatten. |
Abbildung 5: Emphysematöse Pyelonephritis
Sonographie der rechten Niere. Echogene Formation am Oberpol mit Schallschatten. |
