Saurer G, Weihs W Fallbericht: Transient Left Ventricular Apical Ballooning Syndrome (Tako-Tsubo-Kardiomyopathie) - ein Fallbericht Journal für Kardiologie - Austrian Journal of Cardiology 2006; 13 (11-12): 383-385 Volltext (PDF) Fallbeschreibung Übersicht
| ||||||||||||
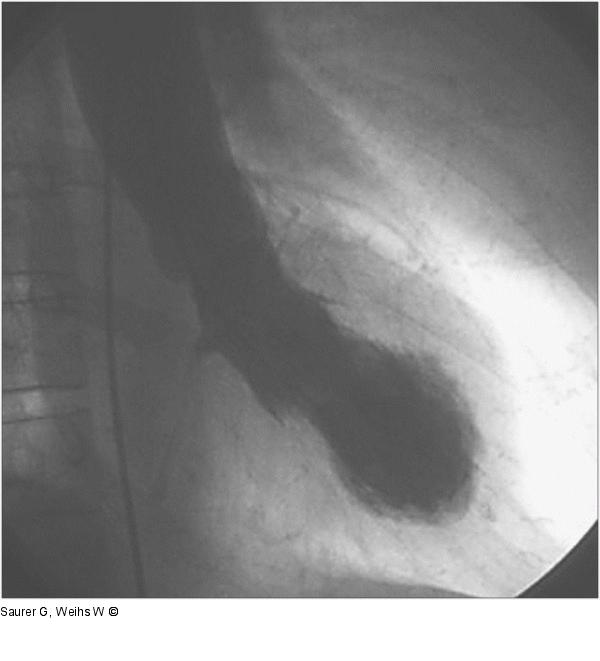
Abbildung 3b: Laevokardiogramm - Diastole - Systole Laevokardiogramm (RAO) in der Diastole (a) und Systole (b). Akinesie der apikalen Segmente ("apical ballooning") mit Hyperkontraktilität der basalen Abschnitte. |
Abbildung 3b: Laevokardiogramm - Diastole - Systole
Laevokardiogramm (RAO) in der Diastole (a) und Systole (b). Akinesie der apikalen Segmente ("apical ballooning") mit Hyperkontraktilität der basalen Abschnitte. |
