Binder T Evaluierung zur kardialen Resynchronisationstherapie (CRT) - Die echokardiographische Untersuchung Journal für Kardiologie - Austrian Journal of Cardiology 2007; 14 (3-4): 63-70 Volltext (PDF) Fallbeschreibung Übersicht | ||||||||||||||||||
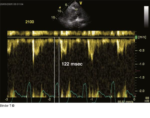
Abbildung 11: Pulmonales elektromechanischer Delay (P-EMD) PW-Dopplersignal des Pulmonalarterienflusses: Bestimmung des pulmonalen elektromechanischen "Delays" (Beginn des QRS-Komplexes bis zum Beginn des Pulmonalflusses). Diese Messung ist erforderlich, um das Interventrikuläre Mechanische Delay IVMD zu bestimmen. Die P-EMD beträgt 122 msec. Beachte: sehr kurze Akzelerationszeit des Pulmonalarterienflusses (70 msec). Dies spricht für eine pulmonale Hypertension. |
Abbildung 11: Pulmonales elektromechanischer Delay (P-EMD)
PW-Dopplersignal des Pulmonalarterienflusses: Bestimmung des pulmonalen elektromechanischen "Delays" (Beginn des QRS-Komplexes bis zum Beginn des Pulmonalflusses). Diese Messung ist erforderlich, um das Interventrikuläre Mechanische Delay IVMD zu bestimmen. Die P-EMD beträgt 122 msec. Beachte: sehr kurze Akzelerationszeit des Pulmonalarterienflusses (70 msec). Dies spricht für eine pulmonale Hypertension. |
