Suda R, Petje G, Radler C, Ganger R, Grill F Osteonekrotische Erkrankungen in der Pädiatrie Journal für Mineralstoffwechsel & Muskuloskelettale Erkrankungen 2007; 14 (1): 27-31 Volltext (PDF) Summary Übersicht | ||||||||||||||||
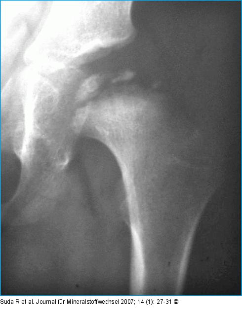
Abbildung 4: Morbus Perthes Morbus Perthes links im Fragmentationsstadium. |
Abbildung 4: Morbus Perthes
Morbus Perthes links im Fragmentationsstadium. |
