Suda R, Petje G, Radler C, Ganger R, Grill F Osteonekrotische Erkrankungen in der Pädiatrie Journal für Mineralstoffwechsel & Muskuloskelettale Erkrankungen 2007; 14 (1): 27-31 Volltext (PDF) Summary Übersicht | ||||||||||||||||||
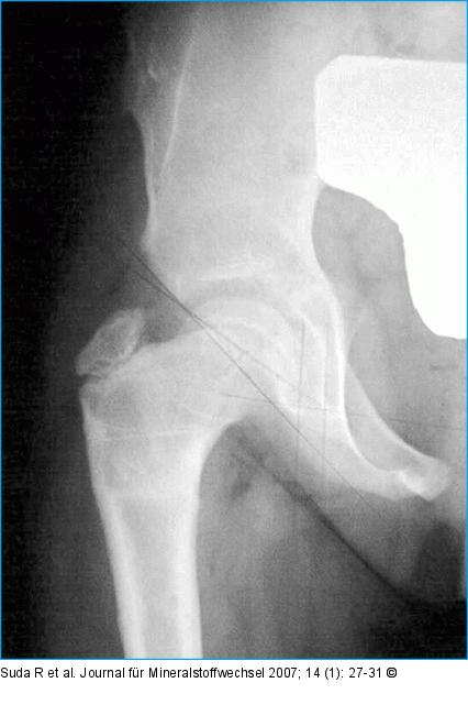
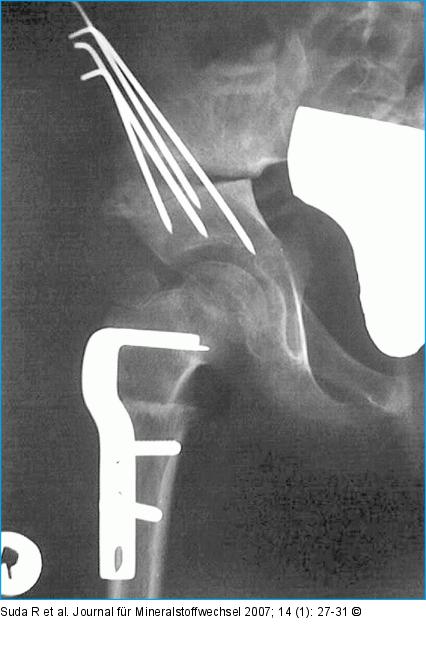
Abbildung 6a-b: Femurosteotomie Zustand nach intertrochantärer varisierender Femurosteotomie mit simultaner Beckenosteotomie nach Salter bei einem 7jährigen Mädchen: (a) postoperatives Röntgenbild, (b) 2 Jahre postoperativ. Der Femurkopf zeigt eine sphärische Ausheilung bei guter Pfannenüberdachung. |
Abbildung 6a
Abbildung 6b
Abbildung 6a-b: Femurosteotomie
Zustand nach intertrochantärer varisierender Femurosteotomie mit simultaner Beckenosteotomie nach Salter bei einem 7jährigen Mädchen: (a) postoperatives Röntgenbild, (b) 2 Jahre postoperativ. Der Femurkopf zeigt eine sphärische Ausheilung bei guter Pfannenüberdachung. |
