Schima W, Kaczirek K Aktuelle Bilder: Multidetektor-CT-Angiographie bei Mesenterialembolie Journal für Gastroenterologische und Hepatologische Erkrankungen 2007; 5 (2): 32 Volltext (PDF) Übersicht
| ||||||
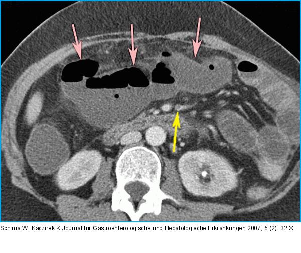
Abbildung 1A: CT-Bild in axialer Schichtführung Das CT-Bild in axialer Schichtführung zeigt angedeutet die Embolie in der A. mes. sup. (schwarzer Pfeil) sowie eine Dilatation der Ileumschlingen (weiße Pfeile). |
Abbildung 1A: CT-Bild in axialer Schichtführung
Das CT-Bild in axialer Schichtführung zeigt angedeutet die Embolie in der A. mes. sup. (schwarzer Pfeil) sowie eine Dilatation der Ileumschlingen (weiße Pfeile). |
