Schima W, Kaczirek K Aktuelle Bilder: Multidetektor-CT-Angiographie bei Mesenterialembolie Journal für Gastroenterologische und Hepatologische Erkrankungen 2007; 5 (2): 32 Volltext (PDF) Übersicht
| ||||||
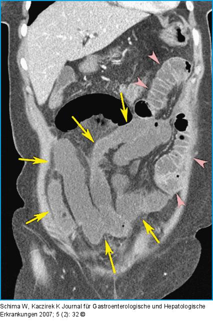
Abbildung 1C: CT-Rekonstruktion in koronaler Ebene Die CT-Rekonstruktion in koronaler Ebene zeigt gut die nekrotischen, dilatierten Ileumschlingen im rechten Mittel- und Unterbauch, welche kein Kontrastmittelenhancement aufweisen (Pfeile). Die Jejunumschlingen im linken Oberbauch sind normal (Pfeilspitzen). |
Film starten
Abbildung 1C: CT-Rekonstruktion in koronaler Ebene
Die CT-Rekonstruktion in koronaler Ebene zeigt gut die nekrotischen, dilatierten Ileumschlingen im rechten Mittel- und Unterbauch, welche kein Kontrastmittelenhancement aufweisen (Pfeile). Die Jejunumschlingen im linken Oberbauch sind normal (Pfeilspitzen). |
