Verlag für Medizin und Wirtschaft
Artikel
Bilder
Volltext
Mobile Version
A-
|
A
|
A+
Werbung
Abo
Bestellung Jahresabonnement (Print/elektronisch)
Bestellung kostenloses e-Journal-Abo
Mediadaten
Journale
News
Datenbanken
Suche Medizinische Publikationen
Suche Abbildungen und Grafiken
Medizinprodukte - Labortechnik
Antidotarium (Stand 2012)
Phytokodex (Stand 2012)
Fortbildung
Bücher
Fachbücher
Patientenliteratur
Impressum
Offenlegung
Kontakt
Disclaimers & Copyright
Allgemeine Geschäftsbedingungen
Datenschutzerklärung
Sitemap
Abbildungen und Graphiken
Steinle H
Seltene Neoplasien im Gastrointestinaltrakt
Journal für Gastroenterologische und Hepatologische Erkrankungen 2012; 10 (2)
: 7-18
Volltext (PDF)
Summary
Praxisrelevanz
Fragen zum Artikel
Abbildungen
Abbildung
Vollbildansicht
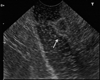
Tumor - Magen
Abbildung 1a-b: (a) Zirka 6 cm großer gastrointestinaler Tumor des Magens; (b) M.-propria-Kommunikation (Endosonographie).
Keywords:
Endosonographie
,
Gastroenterologie
,
Magen
,
Tumor
Vollbildansicht
Tumor - Ösophagus
Abbildung 2: Granularzelltumor im Ösophagus
Keywords:
Endoskopie
,
Gastroenterologie
,
Tumor
,
Ösophagus
Vollbildansicht
Tumor - Magen
Abbildung 3a-c: Neuroendokriner Tumor des Magens (Typ 1). (a) Endoskopisches Bild; (b) Sonovue-unterstützte Endosonographie; (c) endosonographisch sichtbare M.- propria-Infiltration.
Keywords:
Endoskopie
,
Endosonographie
,
Gastroenterologie
,
Magen
,
Tumor
Vollbildansicht
Gastrinom - Duodenum
Abbildung 4: Zirka 7 mm großes Gastrinom im Duodenum (Endosonographie).
Keywords:
Duodenum
,
Endosonographie
,
Gastrinom
,
Gastroenterologie
Vollbildansicht
Tumor - Ileum
Abbildung 5: Neuroendokrines Karzinom im terminalen Ileum mit Vorwölbung der Ileozökalklappe.
Keywords:
Endoskopie
,
Gastroenterologie
,
Ileum
,
Tumor
copyright © 2000–2026
Krause & Pachernegg GmbH
|
Sitemap
|
Datenschutz
|
Impressum
Werbung