Steinle H Seltene Neoplasien im Gastrointestinaltrakt Journal für Gastroenterologische und Hepatologische Erkrankungen 2012; 10 (2): 7-18 Volltext (PDF) Summary Praxisrelevanz Fragen zum Artikel Übersicht | ||||||||||
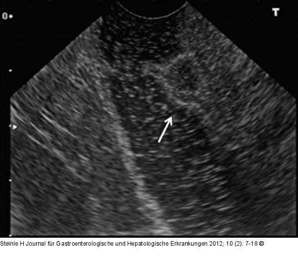
Abbildung 4: Gastrinom - Duodenum Zirka 7 mm großes Gastrinom im Duodenum (Endosonographie). |
Abbildung 4: Gastrinom - Duodenum
Zirka 7 mm großes Gastrinom im Duodenum (Endosonographie). |
