| Rehak T, Gamillscheg A | ||||||||||||||||||||||
|---|---|---|---|---|---|---|---|---|---|---|---|---|---|---|---|---|---|---|---|---|---|---|
|
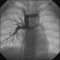
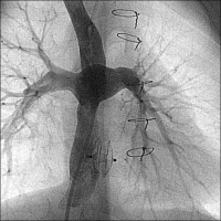
Die Fontan-Operation als definitive Palliation bei funktionell univentrikulären Herzen
Journal für Kardiologie - Austrian Journal of Cardiology 2012; 19 (11-12): 324-331 Volltext (PDF) Summary Fragen zum Artikel Abbildungen
|
||||||||||||||||||||||
