Krause und Pachernegg
Verlag für Medizin und Wirtschaft
Artikel   Bilder   Volltext

Mobile Version
A-  |   A  |   A+
Werbung
 
Abbildungen mit Filmsequenzen
Weihs W, Ritter B  
Echokardiographie aktuell: Fulminante Pulmonalembolie

Journal für Kardiologie - Austrian Journal of Cardiology 2013; 20 (1-2): 31-33

Volltext (PDF)    Abbildungen mit Filmsequenzen   


Abbildung
 
Parasternaler Längsschnitt
Abbildung 1: Parasternaler Längsschnitt: Kleiner hyperkontraktiler linker Ventrikel. Leichte Klappensklerose. Dilatation und Hypokontraktilität des rechten Ventrikels.


Keywords: EchoKardiologieKlappensklerose

Film starten
 
 
Rechtsventrikulärer Einflusstrakt
Abbildung 2: Parasternale Darstellung des rechtsventrikulären Einflusstraktes. Flottierender Thrombus (Pfeil) im RA. Dilatierter und hypokontraktiler RV. RA: rechter Vorhof; RV: rechter Ventrikel; TV: Trikuspidalklappe.


Keywords: EchoKardiologieThrombus

Film starten
 
 
Septum
Abbildung 3: Parasternaler Querschnitt. Diastolische und systolische Abplattung des Septums als Hinweis auf eine rechtsventrikuläre Druckbelastung („D-Sign“). RV: rechter Ventrikel; LV: linker Ventrikel; IVS: intraventrikuläres Septum.


Keywords: D-SignEchoKardiologieSeptum

Film starten
 
 
Vierkammerblick
Abbildung 4: Modifizierter apikaler Vierkammerblick. Flottierender Thrombus (Pfeil) im RA mit Prolabieren in den RV. Hypokinesie des rechten Ventrikels mit Ausnahme des Apex („McConell“-Zeichen). RV: rechter Ventrikel; LV: linker Ventrikel; RA: rechter Vorhof; LA: linker Vorhof.


Keywords: EchoKardiologieThrombusVierkammerblick

Film starten
 
 
Vierkammerblick
Abbildung 5: Subkostaler Vierkammerblick. Flottierender Thrombus (Pfeil) im RA mit Prolabieren in den RV. Dilatierter und hypokontraktiler RV. RV: rechter Ventrikel; LV: linker Ventrikel; RA: rechter Vorhof, LA: linker Vorhof.


Keywords: EchoKardiologieThrombusVierkammerblick

Film starten
 
 
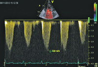
CW-Doppler
Abbildung 6: CW-Doppler der Trikuspidalinsuffizienz. Anhand der Geschwindigkeit errechnet sich ein systolischer pulmonalarterieller Druck von 40–45 mmHg.


Keywords: CW-DopplerKardiologieTrikuspidalinsuffizienz
 
 
 
copyright © 2000–2026 Krause & Pachernegg GmbH | Sitemap | Datenschutz | Impressum
 
Werbung