Weihs W, Ritter B Echokardiographie aktuell: Fulminante Pulmonalembolie Journal für Kardiologie - Austrian Journal of Cardiology 2013; 20 (1-2): 31-33 Volltext (PDF) Übersicht
| ||||||||||||
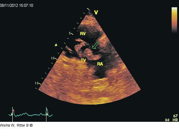
Abbildung 2: Rechtsventrikulärer Einflusstrakt Parasternale Darstellung des rechtsventrikulären Einflusstraktes. Flottierender Thrombus (Pfeil) im RA. Dilatierter und hypokontraktiler RV. RA: rechter Vorhof; RV: rechter Ventrikel; TV: Trikuspidalklappe. |
Film starten
Abbildung 2: Rechtsventrikulärer Einflusstrakt
Parasternale Darstellung des rechtsventrikulären Einflusstraktes. Flottierender Thrombus (Pfeil) im RA. Dilatierter und hypokontraktiler RV. RA: rechter Vorhof; RV: rechter Ventrikel; TV: Trikuspidalklappe. |
