Verlag für Medizin und Wirtschaft
Artikel
Bilder
Volltext
Mobile Version
A-
|
A
|
A+
Werbung
Abo
Bestellung Jahresabonnement (Print/elektronisch)
Bestellung kostenloses e-Journal-Abo
Mediadaten
Journale
News
Datenbanken
Suche Medizinische Publikationen
Suche Abbildungen und Grafiken
Medizinprodukte - Labortechnik
Antidotarium (Stand 2012)
Phytokodex (Stand 2012)
Fortbildung
Bücher
Fachbücher
Patientenliteratur
Impressum
Offenlegung
Kontakt
Disclaimers & Copyright
Allgemeine Geschäftsbedingungen
Datenschutzerklärung
Sitemap
Abbildungen und Graphiken
Getman V, Müller MR
Lungenmetastasen: Die Rolle der Thoraxchirurgie
Interdisziplinäre Onkologie 2013; 5 (1)
: 47-52
Volltext (PDF)
Summary
Praxisrelevanz
Abbildungen
Abbildung
Vollbildansicht
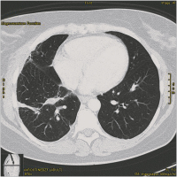
Thorax-CT
Abbildung 1: Thorax-CT mit solitärer Metastase im linken Lungenunterlappen.
Keywords:
CT
,
Metastase
,
Thorax
Vollbildansicht
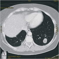
CT
Abbildung 2: CT mit Rundherd im rechten Lungenoberlappen.
Keywords:
CT
,
Lunge
,
Thorax
Vollbildansicht
Lungenmetastase
Abbildung 3: Entfernung einer peripheren Lungenmetastase mittels Laser.
Keywords:
Lunge
,
Metastase
,
Operationssitus
Vollbildansicht
Lungenmetastase
Abbildung 4: Situs nach Entfernung einer peripheren Lungenmetastase.
Keywords:
Lunge
,
Metastase
,
Operationssitus
Vollbildansicht
CT
Abbildung 5: CT 3 Monate nach Laserentfernung von Metastasen der rechten Lunge.
Keywords:
CT
,
Lunge
,
Thorax
copyright © 2000–2026
Krause & Pachernegg GmbH
|
Sitemap
|
Datenschutz
|
Impressum
Werbung