Getman V, Müller MR Lungenmetastasen: Die Rolle der Thoraxchirurgie Interdisziplinäre Onkologie 2013; 5 (1): 47-52 Volltext (PDF) Summary Praxisrelevanz Übersicht | ||||||||||
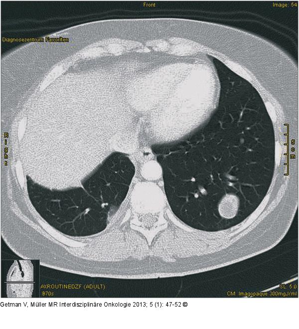
Abbildung 1: Thorax-CT Thorax-CT mit solitärer Metastase im linken Lungenunterlappen. |
Abbildung 1: Thorax-CT
Thorax-CT mit solitärer Metastase im linken Lungenunterlappen. |
