Getman V, Müller MR Lungenmetastasen: Die Rolle der Thoraxchirurgie Interdisziplinäre Onkologie 2013; 5 (1): 47-52 Volltext (PDF) Summary Praxisrelevanz Übersicht | ||||||||||
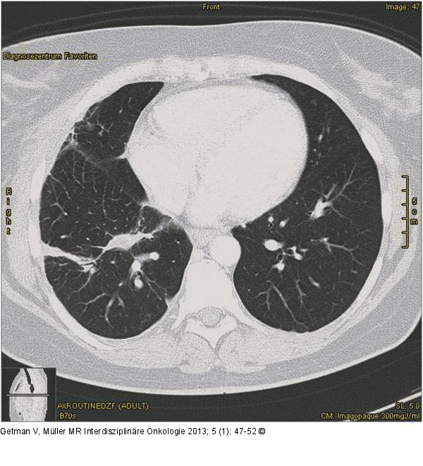
Abbildung 5: CT CT 3 Monate nach Laserentfernung von Metastasen der rechten Lunge. |
Abbildung 5: CT
CT 3 Monate nach Laserentfernung von Metastasen der rechten Lunge. |
