Krause und Pachernegg
Verlag für Medizin und Wirtschaft
Artikel   Bilder   Volltext

Mobile Version
A-  |   A  |   A+
Werbung
 
Abbildungen und Graphiken
Jarius Ch, Budka H  
Übertragbare spongiforme Enzephalopathien

Journal für Neurologie, Neurochirurgie und Psychiatrie 2002; 3 (2): 7-17

Volltext (PDF)    Summary    Abbildungen   


Abbildung
 
Spongiforme Enzephalopathie
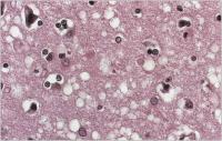
Abbildung 1: Typische spongiforme Gewebealteration in der Großhirnrinde bei CJK (Hämatoxylin-Eosin-Fbg.)


Keywords: Cortex cerebriGroßhirnrindeHistologisches PräparatNeurologieSpongiforme Enzephalopathie
 
 
Spongiforme Enzephalopathie - Prionprotein-Glykoformen
Abbildung 2: Western Blot: nach Auftrennung proteaseresistenter Fraktionen des Prionproteins können 3 Glykoformen des Prionproteins unterschieden werden (Typ 1, Typ 2A und Typ 2B)


Keywords: GlykoformNeurologiePrionproteinWestern Blot
 
 
Spongiforme Enzephalopathie - Prionprotein
Abbildung 3a-c: Spektrum der PrPsc-Ablagerungen (Anti-PrP-AK 3F4): a) synaptisch, b) fleckförmig-perivakuolär, c) Plaques


Keywords: AblagerungHistologisches PräparatNeurologiePrionprotein
 
 
Spongiforme Enzaphalopathie - GSS - Prionprotein
Abbildung 4: GSS - multizentrische Plaques in der Kleinhirnrinde (3F4)


Keywords: AblagerungGerstmann-Sträussler-Scheinker-KrankheitGSSHistologisches PräparatKleinhirnrindeNeurologiePlaquePrionprotein
 
 
Spongiforme Enzephalopathie - Kuru - Prionprotein
Abbildung 5: Kuru - unizentrische Plaques in der Kleinhirnrinde (3F4)


Keywords: AblagerungHistologisches PräparatKleinhirnrindeKuruNeurologiePlaquePrionprotein
 
 
Spongiforme Enzephalopathie - vCJK - Prionprotein
Abbildung 7: vCJK - "floride Plaques" in der Großhirnrinde (PAS)


Keywords: Cortex cerebriCreutzfeldt-Jakob-KrankheitGroßhirnrindeHistologisches PräparatNeurologiePlaquePrionproteinvCJK
 
 
 
copyright © 2000–2026 Krause & Pachernegg GmbH | Sitemap | Datenschutz | Impressum
 
Werbung