Krause und Pachernegg
Verlag für Medizin und Wirtschaft
Artikel   Bilder   Volltext

Mobile Version
A-  |   A  |   A+
Werbung
 
Abbildungen und Graphiken
Preusser M et al.  
Meningeosis carcinomatosa eines HER2-positiven Mammakarzinoms

Tumorboard 2013; 2 (1): 15-16

Volltext (PDF)    Abbildungen   


Abbildung
 
Meningeosis carcinomatosa
Abbildung 1: Sagittale T1-gewichtete Sequenz der BWS und LWS. Teils noduläre, teils plaqueartig der Myelonoberfläche anliegende, kontrastmittelaufnehmende Läsionen im Sinne einer ausgedehnten leptomeningealen Metastasierung im Rahmen der Grunderkrankung


Keywords: BWSLWSMeningeosis carcinomatosaOnkologiesaggittale Sequenz
 
 
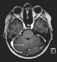
Meningeosis carcinomatosa
Abbildung 2: Axiale T1-gewichtete Sequenz des Gehirnschädels. Noduläre leptomeningeale Kontrastmittel- aufnehmende Läsion zerebellär rechts paramedian, hinweisend auf eine beginnende Meningeosis carcinomatosa


Keywords: axiale SequenzGehirnschädelMeningeosis carcinomatosaOnkologie
 
 
Meningeosis carcinomatosa
Abbildung 3a-c: A. Histologie der spinalen Metastase; B. Her2-Immunhistochemie der spinalen Metastase; C. Liquorzytologie nach 5 intrathekalen Verabreichungen von Trastuzumab: Tumorzellen sowie ein Lymphozyt.


Keywords: HistologieImmunhistochemieLiquorzytologieMeningeosis carcinomatosaOnkologiespinale Metastase
 
 
 
copyright © 2000–2026 Krause & Pachernegg GmbH | Sitemap | Datenschutz | Impressum
 
Werbung