Preusser M, Berghoff A, Furtner J, Dieckmann D, Bartsch R Meningeosis carcinomatosa eines HER2-positiven Mammakarzinoms Tumorboard 2013; 2 (1): 15-16 Volltext (PDF) Übersicht | ||||||
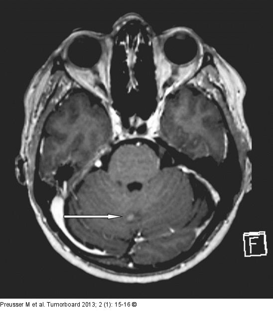
Abbildung 2: Meningeosis carcinomatosa Axiale T1-gewichtete Sequenz des Gehirnschädels. Noduläre leptomeningeale Kontrastmittel- aufnehmende Läsion zerebellär rechts paramedian, hinweisend auf eine beginnende Meningeosis carcinomatosa |
Abbildung 2: Meningeosis carcinomatosa
Axiale T1-gewichtete Sequenz des Gehirnschädels. Noduläre leptomeningeale Kontrastmittel- aufnehmende Läsion zerebellär rechts paramedian, hinweisend auf eine beginnende Meningeosis carcinomatosa |
