Preusser M, Berghoff A, Furtner J, Dieckmann D, Bartsch R Meningeosis carcinomatosa eines HER2-positiven Mammakarzinoms Tumorboard 2013; 2 (1): 15-16 Volltext (PDF) Übersicht | ||||||
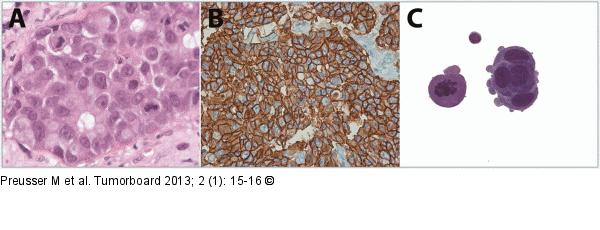
Abbildung 3a-c: Meningeosis carcinomatosa A. Histologie der spinalen Metastase; B. Her2-Immunhistochemie der spinalen Metastase; C. Liquorzytologie nach 5 intrathekalen Verabreichungen von Trastuzumab: Tumorzellen sowie ein Lymphozyt. |
Abbildung 3a-c: Meningeosis carcinomatosa
A. Histologie der spinalen Metastase; B. Her2-Immunhistochemie der spinalen Metastase; C. Liquorzytologie nach 5 intrathekalen Verabreichungen von Trastuzumab: Tumorzellen sowie ein Lymphozyt. |
