| Brezinka C | ||||||||||||||||||||||||||||||||||||||||||||||
|---|---|---|---|---|---|---|---|---|---|---|---|---|---|---|---|---|---|---|---|---|---|---|---|---|---|---|---|---|---|---|---|---|---|---|---|---|---|---|---|---|---|---|---|---|---|---|
|
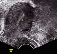
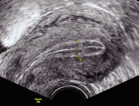
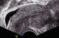
Tipps und Tricks im Gyn-Ultraschall: Das prämenstruelle und das menstruelle Endometrium
Journal für Gynäkologische Endokrinologie 2013; 7 (3) (Ausgabe für Österreich): 24-25 Journal für Gynäkologische Endokrinologie 2013; 7 (3) (Ausgabe für Schweiz): 33-34 Volltext (PDF) Abbildungen
|
||||||||||||||||||||||||||||||||||||||||||||||
