Verlag für Medizin und Wirtschaft
Artikel
Bilder
Volltext
Mobile Version
A-
|
A
|
A+
Werbung
Abo
Bestellung Jahresabonnement (Print/elektronisch)
Bestellung kostenloses e-Journal-Abo
Mediadaten
Journale
News
Datenbanken
Suche Medizinische Publikationen
Suche Abbildungen und Grafiken
Medizinprodukte - Labortechnik
Antidotarium (Stand 2012)
Phytokodex (Stand 2012)
Fortbildung
Bücher
Fachbücher
Patientenliteratur
Impressum
Offenlegung
Kontakt
Disclaimers & Copyright
Allgemeine Geschäftsbedingungen
Datenschutzerklärung
Sitemap
Abbildungen und Graphiken
Schmid M et al.
Fallbericht: Interventionelle Behandlung eines großen Aneurysmas der rechten Koronararterie
Journal für Kardiologie - Austrian Journal of Cardiology 2014; 21 (9-10)
: 271-272
Volltext (PDF)
Abbildungen
Abbildung
Vollbildansicht
Aneurysma
Abbildung 1: Koronar-CT-Darstellung des Aneurysmas
Keywords:
Aneurysma
,
Koronar-CT
Vollbildansicht
Aneurysma
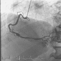
Abbildung 2: Angiographische Darstellung des RCA-Aneurysmas
Keywords:
Aneurysma
,
Angiographie
Vollbildansicht
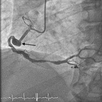
Aneurysma
Abbildung 3: Angiographische Darstellung des teilthrombosierten RCA-Aneurysmas mit disloziertem Stent (Pfeil).
Keywords:
Aneurysma
,
Angiographie
Vollbildansicht
Aneurysma
Abbildung 4: Kontrollangiographie nach 3 Monaten mit vollständig thrombosiertem Aneurysma.
Keywords:
Aneurysma
,
Angiographie
copyright © 2000–2026
Krause & Pachernegg GmbH
|
Sitemap
|
Datenschutz
|
Impressum
Werbung