Schmid M, Zeindlhofer E, Ebner A, Siostrzonek P Fallbericht: Interventionelle Behandlung eines großen Aneurysmas der rechten Koronararterie Journal für Kardiologie - Austrian Journal of Cardiology 2014; 21 (9-10): 271-272 Volltext (PDF) Übersicht | ||||||||
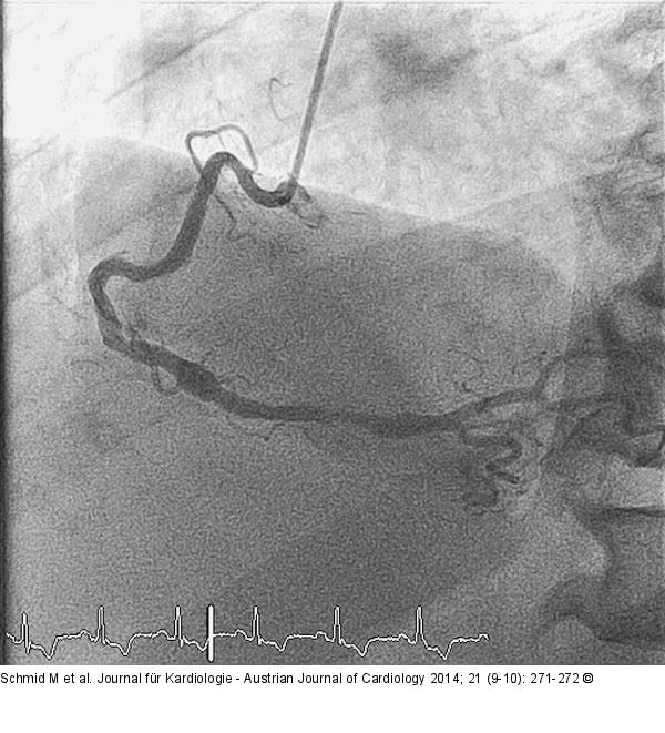
Abbildung 4: Aneurysma Kontrollangiographie nach 3 Monaten mit vollständig thrombosiertem Aneurysma. |
Abbildung 4: Aneurysma
Kontrollangiographie nach 3 Monaten mit vollständig thrombosiertem Aneurysma. |
