Krause und Pachernegg
Verlag für Medizin und Wirtschaft
Artikel   Bilder   Volltext

Mobile Version
A-  |   A  |   A+
Werbung
 
Abbildungen und Graphiken
Hofmann R  
Fallbericht: ST-Hebungen nach Thalliumszintigraphie

Journal für Kardiologie - Austrian Journal of Cardiology 2002; 9 (10): 459-461

Volltext (PDF)    Summary    Abbildungen   


Abbildung
 
ST-Hebung nach Thalliumszintigraphie
Abbildung 1: EKG unmittelbar nach Eintreffen auf der Internen Intensivstation: transmurale Ischämiezeichen und Erstickungs-T-Wellen im Anteroseptalbereich.


Keywords: EKGElektrokardiographieErstickungs-T-WellenFallberichtIschämieKardiologie
 
 
ST-Hebung nach Thalliumszintigraphie
Abbildung 2: Kontroll-EKG nach 15 Minuten.


Keywords: EKGElektrokardiographieFallberichtKardiologie
 
 
ST-Hebung nach Thalliumszintigraphie
Abbildung 3: Thalliumszintigramm: ausgedehnte Aktivitätsminderung bei Belastung (STRESS) mit Reperfusion in den Ruhebildern (REST).


Keywords: FallberichtIschämieKardiologiereperfusionThalliumszintigraphie
 
 
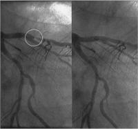
ST-Hebung nach Thalliumszintigraphie
Abbildung 4: Angiogramm der linken Koronararterie: hochgradige Stenose im Ramus interventricularis anterior (Kreis). Links vor, rechts nach Stentimplantation.


Keywords: AngiographieArteria coronaria sinistraFallberichtKardiologieRamus interventricularis anteriorStenoseStent
 
 
 
copyright © 2000–2026 Krause & Pachernegg GmbH | Sitemap | Datenschutz | Impressum
 
Werbung