Hofmann R Fallbericht: ST-Hebungen nach Thalliumszintigraphie Journal für Kardiologie - Austrian Journal of Cardiology 2002; 9 (10): 459-461 Volltext (PDF) Summary Übersicht | ||||||||
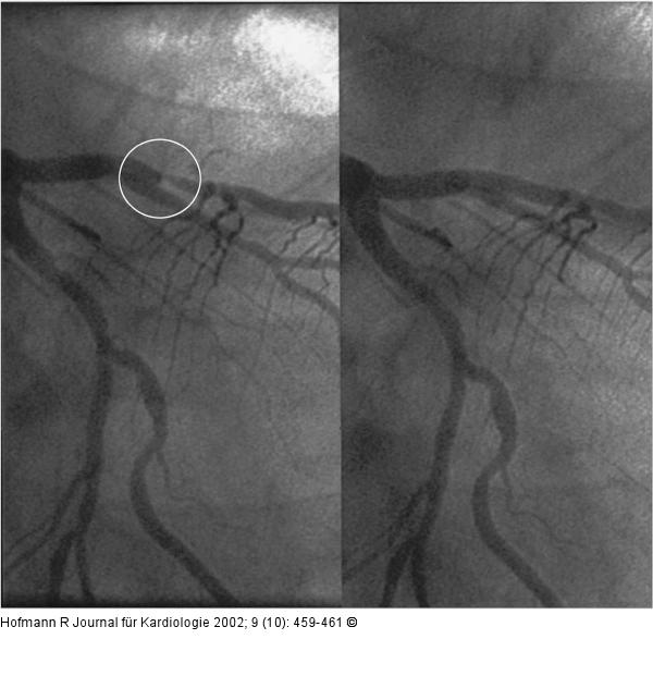
Abbildung 4: ST-Hebung nach Thalliumszintigraphie Angiogramm der linken Koronararterie: hochgradige Stenose im Ramus interventricularis anterior (Kreis). Links vor, rechts nach Stentimplantation. |
Abbildung 4: ST-Hebung nach Thalliumszintigraphie
Angiogramm der linken Koronararterie: hochgradige Stenose im Ramus interventricularis anterior (Kreis). Links vor, rechts nach Stentimplantation. |
