Krause und Pachernegg
Verlag für Medizin und Wirtschaft
Artikel   Bilder   Volltext

Mobile Version
A-  |   A  |   A+
Werbung
 
Abbildungen und Graphiken
Bergler-Klein J, Binder T  
Echokardiographie aktuell: Kardiale Manifestationen bei metastasiertem Melanom

Journal für Kardiologie - Austrian Journal of Cardiology 2002; 9 (11): 507-508

Volltext (PDF)    Abbildungen   


Abbildung
 
Metastasiertes Melanom - Kardiale Manifestation
Abbildung 1: Kurze Achse des linken Ventrikels (LV): Das Myokard ist symmetrisch hypertrophiert und zeigt unregelmäßige Konturierung und noduläre Aufhellungen. Zusätzlich ist ein Perikarderguß (PE) erkennbar.


Keywords: EchokardiographieFallberichtkardiale MetastaseKardiologielinker Ventrikellinksventrikuläre Hypertrophiemetastasiertes MelanomMyokardPerikarderguss
 
 
Metastasiertes Melanom - Kardiale Manifestation
Abbildung 2: Vierkammerblick in Systole und Diastole: deutliche Hypertrophie (LVH) und inhomogene Echogenität des Septums. LV = linker Ventrikel, RV = rechter Ventrikel.


Keywords: diastoleEchokardiographieFallberichtkardiale MetastaseKardiologielinksventrikuläre Hypertrophiemetastasiertes MelanomSeptumSystoleVierkammerblick
 
 
Metastasiertes Melanom - Kardiale Manifestation
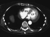
Abbildung 3: Computertomographie: Auch in der Computertomographie findet sich ein auffallend unregelmäßig begrenztes Myokard; LV = linker Ventrikel; RV = rechter Ventrikel, zusätzlich intrapulmonale Rundherde.


Keywords: ComputertomographieFallberichtkardiale MetastaseKardiologiemetastasierendes MelanomMyokardRundherd
 
 
Metastasiertes Melanom - Kardiale Manifestation
Abbildung 4: Subcostaler Vierkammerblick. Fokale epikardial gelegene Raumforderung (RF) in Nachbarschaft zum rechten Vorhof (RA). Zusätzlich ist ein Perikarderguß (PE) erkennbar sowie Sekundärblastome in der Leber.


Keywords: BlastomEchokardiographieFallberichtkardiale MetastaseKardiologieLebermetastasierendes MelanomPerikardergussVierkammerblick
 
 
 
copyright © 2000–2026 Krause & Pachernegg GmbH | Sitemap | Datenschutz | Impressum
 
Werbung