Bergler-Klein J, Binder T Echokardiographie aktuell: Kardiale Manifestationen bei metastasiertem Melanom Journal für Kardiologie - Austrian Journal of Cardiology 2002; 9 (11): 507-508 Volltext (PDF) Übersicht | ||||||||
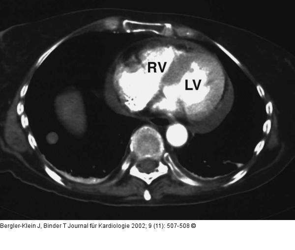
Abbildung 3: Metastasiertes Melanom - Kardiale Manifestation Computertomographie: Auch in der Computertomographie findet sich ein auffallend unregelmäßig begrenztes Myokard; LV = linker Ventrikel; RV = rechter Ventrikel, zusätzlich intrapulmonale Rundherde. |
Abbildung 3: Metastasiertes Melanom - Kardiale Manifestation
Computertomographie: Auch in der Computertomographie findet sich ein auffallend unregelmäßig begrenztes Myokard; LV = linker Ventrikel; RV = rechter Ventrikel, zusätzlich intrapulmonale Rundherde. |
