| Zehetner W et al. | ||||||||||||||||||||||||||||||||||
|---|---|---|---|---|---|---|---|---|---|---|---|---|---|---|---|---|---|---|---|---|---|---|---|---|---|---|---|---|---|---|---|---|---|---|
|
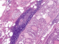
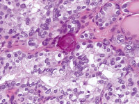
Der Schilddrüsenfall: Vermeintliche Sarkoidose erweist sich als pulmonal metastasiertes papilläres Schilddrüsenkarzinom
Journal für Klinische Endokrinologie und Stoffwechsel - Austrian Journal of Clinical Endocrinology and Metabolism 2016; 9 (2): 46-47 Volltext (PDF) Abbildungen
|
||||||||||||||||||||||||||||||||||
