Zehetner W, Karik M, Pokieser W, Rieger H, Glaser K, Mirzaei S Der Schilddrüsenfall: Vermeintliche Sarkoidose erweist sich als pulmonal metastasiertes papilläres Schilddrüsenkarzinom Journal für Klinische Endokrinologie und Stoffwechsel - Austrian Journal of Clinical Endocrinology and Metabolism 2016; 9 (2): 46-47 Volltext (PDF) Übersicht | ||||||||||
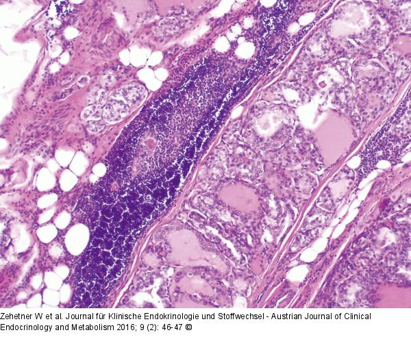
Abbildung 4: Schilddrüsenkarzinom HE x40: Tumorformationen mit präexistentem Thymusgewebe (Thymusrinde, Thymusmark mit Hasall’schem Körperchen) |
Abbildung 4: Schilddrüsenkarzinom
HE x40: Tumorformationen mit präexistentem Thymusgewebe (Thymusrinde, Thymusmark mit Hasall’schem Körperchen) |
