Zehetner W, Karik M, Pokieser W, Rieger H, Glaser K, Mirzaei S Der Schilddrüsenfall: Vermeintliche Sarkoidose erweist sich als pulmonal metastasiertes papilläres Schilddrüsenkarzinom Journal für Klinische Endokrinologie und Stoffwechsel - Austrian Journal of Clinical Endocrinology and Metabolism 2016; 9 (2): 46-47 Volltext (PDF) Übersicht | ||||||||||
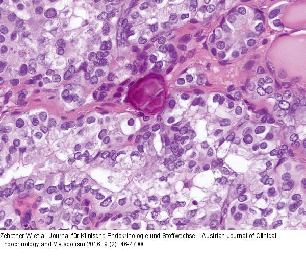
Abbildung 3: Schilddrüsenkarzinom HE x 400: papill. SD-Ca, prismatische Zellen mit anisokariotischen teilweise milchglasartigen Kernen, Pseudoinklusionen und einzelnen Kernkerben |
Abbildung 3: Schilddrüsenkarzinom
HE x 400: papill. SD-Ca, prismatische Zellen mit anisokariotischen teilweise milchglasartigen Kernen, Pseudoinklusionen und einzelnen Kernkerben |
