Krause und Pachernegg
Verlag für Medizin und Wirtschaft
Artikel   Bilder   Volltext

Mobile Version
A-  |   A  |   A+
Werbung
 
Abbildungen und Graphiken
Brezinka C  
Tipps & Tricks im Gyn-Ultraschall: „Fluid is your friend“ – die Ultraschallgesetze des Prof. Goldstein

Journal für Gynäkologische Endokrinologie 2016; 10 (3) (Ausgabe für Österreich): 22-24
Journal für Gynäkologische Endokrinologie 2016; 10 (3) (Ausgabe für Schweiz): 24-26

Volltext (PDF)    Abbildungen   


Abbildung
 
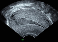
Ultraschall-Serometra
Abbildung 1: Serometra bei Asherman-Syndrom nach manueller Plazentalösung und dreimaliger Abrasio nach der letzten Entbindung. Dank der Flüssigkeit kann man erkennen, dass praktisch keine Endometrium-Schleimhaut aufgebaut ist.


Keywords: EndometriumFlüssigkeitFlüssigkeitsansammlungGynäkologieSerometraSonographieUltraschall
 
 
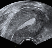
Ultraschall-Serometra
Abbildung 2: Serometra unter IVF-Stimulation: Nach Fehldosierung bildete sich eine Ansammlung eher echodenser Flüssigkeit im Cavum uteri, sodass der Zyklus abgebrochen werden musste.


Keywords: Cavum uteriGynäkologieIVF-StimulationSerometraSonographieUltraschall
 
 
Ultraschall-Serometra
Abbildung 3: Selber Fall wie Abbildung 2 mit 3D-Ultraschall: Zwischen einem dünnen, echodensen Randsaum aus Endometrium hat sich eine Ansammlung von Flüssigkeit mit länglichen, echodensen Strukturen gebildet. Der Stimulationszyklus wurde abgebrochen.


Keywords: 3D-UltraschallCavum uteriGynäkologieIVF-StimulationSerometraSonographie
 
 
Ultraschall-Serometra
Abbildung 4: HyCoSy, die iatrogene Serometra: Links im Bild ist deutlich der Katheter sichtbar, mit dem das echoarme NaCl ins Cavum uteri eingebracht wird.


Keywords: Cavum uteriGynäkologieHyCoSyKatheterSerometraSonographieUltraschall
 
 
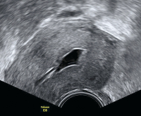
Ultraschall-Serometra
Abbildung 5: 6 Wochen nach Spontanabort und medikamentöser Behandlung zeigt sich eine 12 mm lange, echodense, nichtvaskularisierte Struktur bei einer HyCoSy mit NaCl.


Keywords: GynäkologieHyCoSyKochsalzlösungSerometraSonographieSpontanabortUltraschall
 
 
Ultraschall-Serometra
Abbildung 6: Selbe Einstellung wie Abbildung 5 – mit aktivierter 3D-Option. Vom Aspekt her könnte man dieses Bild auch mit einem liegenden IUD verwechseln.


Keywords: 3D-UltraschallGynäkologieHyCoSyKochsalzlösungSerometraSonographieSpontanabort
 
 
Ultraschall-Serometra
Abbildung 7: Selber Fall und selbe Einstellung wie Abbildungen 5 und 6: Mit echodensem Kontrastmittel wie z. B. Sonovue® kann man Schleimhautpolypen deutlich weniger gut darstellen als mit NaCl.


Keywords: GynäkologieHyCoSyKochsalzlösungKontrastmittelSchleimhautSerometraSonographieSpontanabortUltraschall
 
 
Ultraschall-Serometra
Abbildung 8: Markante Sectionarbe am nichtschwangeren Uterus am 10. Zyklustag, Darstellung mit NaCl. Die residuale myometriale Dicke (RMT) beträgt 3 mm.


Keywords: GynäkologieKochsalzlösungSectionarbeSerometraSonographieUltraschallUterus
 
 
Ultraschall-Serometra
Abbildung 9: Sectionarbe mit NaCl als Kontrastmittel. Die residuale myometriale Dicke beträgt 5 mm.


Keywords: GynäkologieKochsalzlösungSectionarbeSerometraSonographieUltraschallUterus
 
 
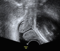
Ultraschall-Serometra
Abbildung 10: „Fluid is your friend“ – auch beim geburtshilflichen Ultraschall. Bei einem vorzeitigen Blasensprung in der 36. SSW zeigt sich die Zervix mit 15 mm Länge, noch formiert und erhalten. Das Fruchtwasser geht vom Zervikalkanal in den Fornix vaginae über und macht ein einprägsames Bild.


Keywords: BlasensprungFruchtwasserGynäkologieSerometraSonographieUltraschallZervix
 
 
 
copyright © 2000–2026 Krause & Pachernegg GmbH | Sitemap | Datenschutz | Impressum
 
Werbung