Brezinka C Tipps & Tricks im Gyn-Ultraschall: „Fluid is your friend“ – die Ultraschallgesetze des Prof. Goldstein Journal für Gynäkologische Endokrinologie 2016; 10 (3) (Ausgabe für Österreich): 22-24 Journal für Gynäkologische Endokrinologie 2016; 10 (3) (Ausgabe für Schweiz): 24-26 Volltext (PDF) Übersicht | ||||||||||||||||||
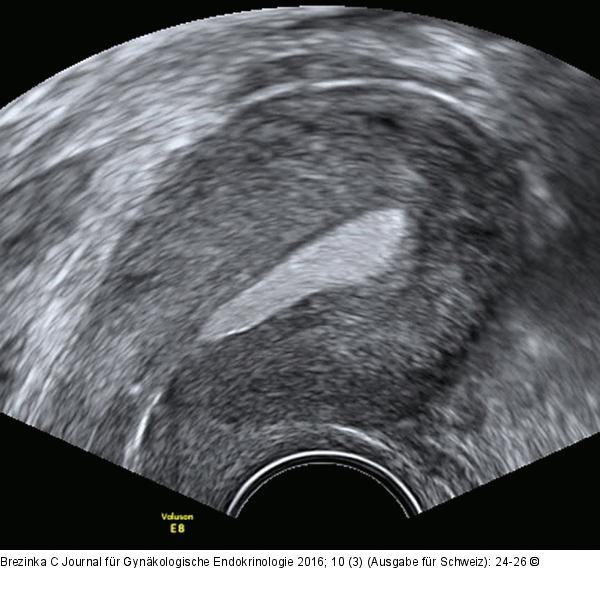
Abbildung 7: Ultraschall-Serometra Selber Fall und selbe Einstellung wie Abbildungen 5 und 6: Mit echodensem Kontrastmittel wie z. B. Sonovue® kann man Schleimhautpolypen deutlich weniger gut darstellen als mit NaCl. |
Abbildung 7: Ultraschall-Serometra
Selber Fall und selbe Einstellung wie Abbildungen 5 und 6: Mit echodensem Kontrastmittel wie z. B. Sonovue® kann man Schleimhautpolypen deutlich weniger gut darstellen als mit NaCl. |
