Brezinka C Tipps & Tricks im Gyn-Ultraschall: „Fluid is your friend“ – die Ultraschallgesetze des Prof. Goldstein Journal für Gynäkologische Endokrinologie 2016; 10 (3) (Ausgabe für Österreich): 22-24 Journal für Gynäkologische Endokrinologie 2016; 10 (3) (Ausgabe für Schweiz): 24-26 Volltext (PDF) Übersicht | ||||||||||||||||
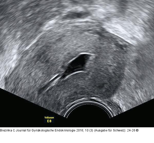
Abbildung 4: Ultraschall-Serometra HyCoSy, die iatrogene Serometra: Links im Bild ist deutlich der Katheter sichtbar, mit dem das echoarme NaCl ins Cavum uteri eingebracht wird. |
Abbildung 4: Ultraschall-Serometra
HyCoSy, die iatrogene Serometra: Links im Bild ist deutlich der Katheter sichtbar, mit dem das echoarme NaCl ins Cavum uteri eingebracht wird. |
