Krause und Pachernegg
Verlag für Medizin und Wirtschaft
Artikel   Bilder   Volltext

Mobile Version
A-  |   A  |   A+
Werbung
 
Abbildungen und Graphiken
Schmidbauer M  
Einige neuropathologische Aspekte zur bildgebenden Diagnostik bei Entzündungen des Zentralnervensystems

Journal für Neurologie, Neurochirurgie und Psychiatrie 2003; 4 (1): 7-12

Volltext (PDF)    Summary    Abbildungen   


Abbildung
 
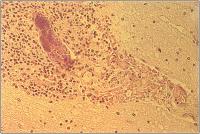
Septischer Embolus
Abbildung 2: Septischer Embolus mit kollateraler Entzündung und frischem Blutaustritt. H. & E., x40


Keywords: EmbolusGehirnHistologisches PräparatNeurologiesepsis
 
 
Temporallappenenzephalitis
Abbildung 5: Typischer - allerdings nur einseitiger - makroskopischer Aspekt einer Temporallappenenzephalitis durch HSV


Keywords: Anatomisches PräparatGehirnHerpes simplexNeurologieTemporallappenenzephalitis
 
 
Holoprosenzephalie
Abbildung 6: Holoprosenzephalie als Beispiel einer frühen Hirnschädigung ohne Noxenhinweis


Keywords: Anatomisches PräparatGehirnHoloprosenzephalieNeurologie
 
 
Ventrikulomegalie
Abbildung 7: Ventrikulomegalie nach beidseitiger fötaler Schädigung ohne Noxenhinweis


Keywords: Anatomisches PräparatGehirnNeurologieVentrikulomegalie
 
 
Herpes simplex - Enzephalitis
Abbildung 8: CCT einer neonatalen HSV-Enzephalitis mit ausgeprägten, symmetrischen Marklagerdichteminderungen


Keywords: ComputertomographieEnzephalitisGehirnHerpes simplexNeurologie
 
 
Herpes simplex - Hirnstammenzephalitis
Abbildung 9: HSV-Hirnstammenzephalitis mit diskreten Entzündungsherden in der Medulla oblongata. Common Leucocyte Antigen-Immunhistochemie, x100


Keywords: EnzephalitisHerpes simplexHirnstammHistologisches PräparatMedulla oblongataNeurologie
 
 
Temporallappenenzephalitis
Abbildung 10: Schematische, vereinfachte Darstellung der Funktionsverbindungen, die bei Temporallappenenzephalitis durch HSV betroffen sein können (nach Schmidbauer und Paur [in Vorbereitung]


Keywords: Herpes simplexNeurologieSchemaTemporallappenenzephalitis
 
 
Temorallappenenzephalitis - Läsionen
Abbildung 11: Dynamische Analyse der Läsionsentwicklung bei Temporallappenenzephalitis durch HSV. HMPAO-SPECT


Keywords: ComputertomographieGehirnHerpes simplexHMPAO-SPECTLäsionNeurologieTemporallappenenzephalitis
 
 
 
copyright © 2000–2026 Krause & Pachernegg GmbH | Sitemap | Datenschutz | Impressum
 
Werbung