Krause und Pachernegg
Verlag für Medizin und Wirtschaft
Artikel   Bilder   Volltext

Mobile Version
A-  |   A  |   A+
Werbung
 
Abbildungen und Graphiken
Tentschert S et al.  
Dissektion der Arteria carotis als Ursache ischämischer zerebrovaskulärer Ereignisse - Fallberichte und Diskussion

Journal für Neurologie, Neurochirurgie und Psychiatrie 2003; 4 (1): 13-20

Volltext (PDF)    Summary    Abbildungen   


Abbildung
 
Arteria carotis - Perfusion
Abbildung 1: MR-Angiographie (3D-PCA): Die perfundierten Gefäßlumina sind geschwindigkeitskodiert dargestellt. Die Arteria carotis dextra (weißer Pfeil) zeigt eine im Seitenvergleich moderate Flußverlangsamung im verschmälerten perfundierten Lumen. Auch die Arteria cerebri media dextra weist diesbezüglich deutliche, vergleichbare Veränderungen auf (schraffierter Pfeil).


Keywords: Arteria carotis dextraArteria cerebri media dextraMagnetresonanzangiographieNeurologiePerfusion
 
 
Arteria carotis - Dissektion
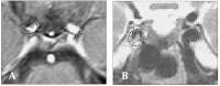
Abbildung 2A-B: A) MR-Angiographie (3D-PCA): Die Dissekatlamelle reicht bis C1. So ist auf diesem axialen Schnitt eine "Delle" in der Flußsäule der ACI rechts (schwarzgepunkteter Kreis), bei voll signalgebendem Lumen links (weißgepunkteter Kreis) zu sehen. B) T2-TSE-Sequenz: Im koronalen Schnitt nach C3 ist die Dissekatlamelle als Aussparungsfigur im flow void der ACI rechts (schwarzgepunkteter Kreis) zu sehen. Linksseitig (weißgepunkteter Kreis) zeigt sich ein normales flow void zum Vergleich.


Keywords: Arteria carotisDissektionMagnetresonanzangiographieNeurologiePerfusion
 
 
Gehirn - Perfusion
Abbildung 3A-B: A) Perfusions-MRT: Es zeigt sich eine deutliche hämodynamische Belastung im Stromgebiet der Arteriae cerebri anterior et media dextra (rote und blaue Zonen rechts-telenzephal). B) Diffusions-MRT (b1000i-Bild): Innerhalb der deutlich hämodynamisch belasteten Areale ist ein Infarkt nachweisbar (weißes Areal cella media rechts)


Keywords: Arteria cerebri anteriorArteria cerebri mediaDiffusionGehirnMagnetresonanztomographieNeurologiePerfusion
 
 
 
copyright © 2000–2026 Krause & Pachernegg GmbH | Sitemap | Datenschutz | Impressum
 
Werbung