| Unterhofer C et al. | ||||||||||||||||||||||
|---|---|---|---|---|---|---|---|---|---|---|---|---|---|---|---|---|---|---|---|---|---|---|
|
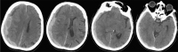
Das akute Subduralhämatom bei geriatrischen Patienten: Wieviel Neurochirurgie brauchen wir? // The role of age in the treatment of traumatic brain injury
Journal für Neurologie, Neurochirurgie und Psychiatrie 2018; 19 (2): 53-58 Volltext (PDF) Summary Praxisrelevanz Abbildungen
|
||||||||||||||||||||||
