Verlag für Medizin und Wirtschaft
Artikel
Bilder
Volltext
Mobile Version
A-
|
A
|
A+
Werbung
Abo
Bestellung Jahresabonnement (Print/elektronisch)
Bestellung kostenloses e-Journal-Abo
Mediadaten
Journale
News
Datenbanken
Suche Medizinische Publikationen
Suche Abbildungen und Grafiken
Medizinprodukte - Labortechnik
Antidotarium (Stand 2012)
Phytokodex (Stand 2012)
Fortbildung
Bücher
Fachbücher
Patientenliteratur
Impressum
Offenlegung
Kontakt
Disclaimers & Copyright
Allgemeine Geschäftsbedingungen
Datenschutzerklärung
Sitemap
Abbildungen und Graphiken
Riederer F
News- Screen Neurologie
Journal für Neurologie, Neurochirurgie und Psychiatrie 2018; 19 (3)
: 114-116
Volltext (PDF)
Abbildungen
Abbildung
Vollbildansicht
Signalauslöschungen
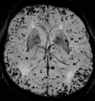
Abbildung 1: Signalauslöschungen durch Hämosiderinablagerungen durch zerebrale Mikroblutungen dargestellt durch eine Suszeptilitätsgewichtete Sequenz (SWI)
Keywords:
Darstellung
,
Signalauslöschung
,
suszeptilitätsgewichtete Sequenz
,
SWI
,
zerebrale Mikroblutung
copyright © 2000–2026
Krause & Pachernegg GmbH
|
Sitemap
|
Datenschutz
|
Impressum
Werbung