Riederer F News- Screen Neurologie Journal für Neurologie, Neurochirurgie und Psychiatrie 2018; 19 (3): 114-116 Volltext (PDF) Übersicht | ||
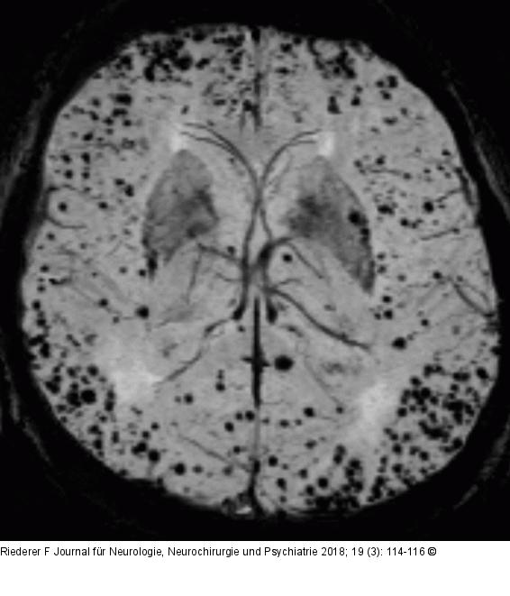
Abbildung 1: Signalauslöschungen Signalauslöschungen durch Hämosiderinablagerungen durch zerebrale Mikroblutungen dargestellt durch eine Suszeptilitätsgewichtete Sequenz (SWI) |
Abbildung 1: Signalauslöschungen
Signalauslöschungen durch Hämosiderinablagerungen durch zerebrale Mikroblutungen dargestellt durch eine Suszeptilitätsgewichtete Sequenz (SWI) |
