Verlag für Medizin und Wirtschaft
Artikel
Bilder
Volltext
Mobile Version
A-
|
A
|
A+
Werbung
Abo
Bestellung Jahresabonnement (Print/elektronisch)
Bestellung kostenloses e-Journal-Abo
Mediadaten
Journale
News
Datenbanken
Suche Medizinische Publikationen
Suche Abbildungen und Grafiken
Medizinprodukte - Labortechnik
Antidotarium (Stand 2012)
Phytokodex (Stand 2012)
Fortbildung
Bücher
Fachbücher
Patientenliteratur
Impressum
Offenlegung
Kontakt
Disclaimers & Copyright
Allgemeine Geschäftsbedingungen
Datenschutzerklärung
Sitemap
Abbildungen und Graphiken
Friedrich G et al.
Fallbericht: Kollateralbefund bei COVID-19-Verdacht: Welcher Patient könnte profitieren?
Journal für Kardiologie - Austrian Journal of Cardiology 2020; 27 (5)
: 178-180
Volltext (PDF)
Abbildungen
Abbildung
Vollbildansicht
EKG
Abbildung 1: EKG mit LSB und AV-Block III
Keywords:
AV-Block III
,
EKG
,
Kardiologie
,
Linksschenkelblock
,
LSB
Vollbildansicht
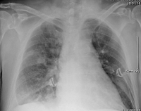
Thoraxröntgen
Abbildung 2: Thoraxröntgen am Aufnahmetag
Keywords:
Kardiologie
,
pathologischer Befund
,
Thoraxröntgen
Vollbildansicht
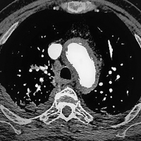
Thorax-CT
Abbildung 3: Thorax-CT mit Hyperdensität der Aortenwand und Verdacht auf ein intramurales Hämatom (IMH).
Keywords:
Aortenwand
,
Hyperdensität
,
IMH
,
intramurales Hämatom
,
Kardiologie
,
Thorax-CT
Vollbildansicht
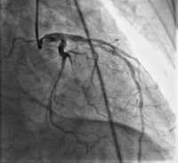
Koronarangiographie
Abbildung 4: CAG-Befund mit LAD und CX-Stenosen
Keywords:
CAG
,
CX
,
Kardiologie
,
Koronarangiographie
,
LAD
,
Stenose
copyright © 2000–2026
Krause & Pachernegg GmbH
|
Sitemap
|
Datenschutz
|
Impressum
Werbung