Friedrich G, Birkl K, Plank F, Beyer C, Semsroth S, Dumfarth J, Barbieri F, Kranewitter C, Velik-Salchner C Fallbericht: Kollateralbefund bei COVID-19-Verdacht: Welcher Patient könnte profitieren? Journal für Kardiologie - Austrian Journal of Cardiology 2020; 27 (5): 178-180 Volltext (PDF) Übersicht | ||||||||
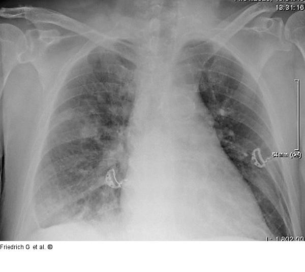
Abbildung 2: Thoraxröntgen Thoraxröntgen am Aufnahmetag |
