Verlag für Medizin und Wirtschaft
Artikel
Bilder
Volltext
Mobile Version
A-
|
A
|
A+
Werbung
Abo
Bestellung Jahresabonnement (Print/elektronisch)
Bestellung kostenloses e-Journal-Abo
Mediadaten
Journale
News
Datenbanken
Suche Medizinische Publikationen
Suche Abbildungen und Grafiken
Medizinprodukte - Labortechnik
Antidotarium (Stand 2012)
Phytokodex (Stand 2012)
Fortbildung
Bücher
Fachbücher
Patientenliteratur
Impressum
Offenlegung
Kontakt
Disclaimers & Copyright
Allgemeine Geschäftsbedingungen
Datenschutzerklärung
Sitemap
Abbildungen und Graphiken
Lamm G
Interventionelle Therapie der Aortenstenose // Interventional therapy for aortic stenosis
Journal für Kardiologie - Austrian Journal of Cardiology 2025; 32 (5-6)
: 108-112
Volltext (PDF)
Summary
Abbildungen
Abbildung
Vollbildansicht
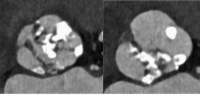
Aortenklappe
Abbildung 1: Bikuspide Aortenklappe mit stark kalzifizierter Raphe in der Multislice-CT
Keywords:
bikuspide Aortenklappe
,
kalzifizierte Raphe
,
Kardiologie
,
Multislice-CT
,
TAVI
Vollbildansicht
Altersverteilung
Abbildung 2: Altersverteilung der TAVI-Patienten in Österreich (2020–2022). Quelle: Österreichisches Aortenklappenregister
Keywords:
Altersverteilung
,
Aortenklappenstenose
,
Diagramm
,
Kardiologie
,
TAVI
Vollbildansicht
Durchschnittsalter
Abbildung 3: Durchschnittsalter der TAVI-Patienten in Österreich (2020–2022). Quelle: Österreichisches Aortenklappenregister
Keywords:
Aortenklappenstenose
,
Diagramm
,
Durchschnittsalter
,
Kardiologie
,
TAVI
Vollbildansicht
Zugangswege
Abbildung 4: Günstige periphere Zugangswege für eine transfemorale TAVI in der Multislice-CT
Keywords:
Kardiologie
,
Multislice-CT
,
peripherer Zugangsweg
,
TAVI
copyright © 2000–2026
Krause & Pachernegg GmbH
|
Sitemap
|
Datenschutz
|
Impressum
Werbung