Krause und Pachernegg
Verlag für Medizin und Wirtschaft
Artikel   Bilder   Volltext

Mobile Version
A-  |   A  |   A+
Werbung
 
Abbildungen und Graphiken
Harb S et al.  
OCT-Corner: Hematoma? Fenestrate it! Dissection? Shred it!

Journal für Kardiologie - Austrian Journal of Cardiology 2025; 32 (11-12): 269-271

Volltext (PDF)    Abbildungen   


Abbildung
 
Balloon
Abbildung 1: The lesion shape before ballooning (a); non-flow limiting dissection after predilatation with NC ballon (b); final result (c)


Keywords: NC balloonOCT
 
 
Angiography
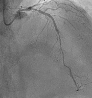
Abbildung 2: Follow-up angiography showed hazy lesion distal of the stent with significant luminal narrowing, followed by long diffuse lesion


Keywords: AngiographieLäsion
 
 
OCT
Abbildung 3: OCT run after NC dilatation: (a) Significant deep medial dissection starting < 5 mm from distal stent edge with apparent inlet. In L-Mode flap appears long and significantly protruding with risk of lumen occlusion (* = wire artifact). (b) Intramural hematoma (separation of IEL and EEL) from 12 to 3 o’clock and lipidic plaque from 6 to 9 o’clock and significant luminal narrowing. (c) Hematoma is partially evacuated after NC-ballooning.


Keywords: balloonHämatomOCT
 
 
Result
Abbildung 4: (a) Result after scoring balloon and (b) after drug-eluting balloon


Keywords: drug-eluting balloonscoring balloon
 
 
Ballon
Abbildung 5: Cutting balloon can create multiple fenestrations between the true lumen and intramural hematoma: If expansion is not effective, “cuttering” technique (pulling cutting balloon back along hematoma at low pressure) can help [4].


Keywords: balloonOCT
 
 
 
copyright © 2000–2026 Krause & Pachernegg GmbH | Sitemap | Datenschutz | Impressum
 
Werbung