Harb S, Mantawy S, Zirlik A, Toth G OCT-Corner: Hematoma? Fenestrate it! Dissection? Shred it! Journal für Kardiologie - Austrian Journal of Cardiology 2025; 32 (11-12): 269-271 Volltext (PDF) Übersicht | ||||||||||
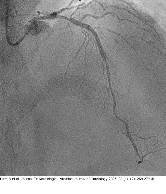
Abbildung 2: Angiography Follow-up angiography showed hazy lesion distal of the stent with significant luminal narrowing, followed by long diffuse lesion |
Abbildung 2: Angiography
Follow-up angiography showed hazy lesion distal of the stent with significant luminal narrowing, followed by long diffuse lesion |
