Verlag für Medizin und Wirtschaft
Artikel
Bilder
Volltext
Mobile Version
A-
|
A
|
A+
Werbung
Abo
Bestellung Jahresabonnement (Print/elektronisch)
Bestellung kostenloses e-Journal-Abo
Mediadaten
Journale
News
Datenbanken
Suche Medizinische Publikationen
Suche Abbildungen und Grafiken
Medizinprodukte - Labortechnik
Antidotarium (Stand 2012)
Phytokodex (Stand 2012)
Fortbildung
Bücher
Fachbücher
Patientenliteratur
Impressum
Offenlegung
Kontakt
Disclaimers & Copyright
Allgemeine Geschäftsbedingungen
Datenschutzerklärung
Sitemap
Abbildungen und Graphiken
Lichtblau L, Badr-Eslam R
Aktuelles: Fallbericht: Amyloidose im Verlauf
Journal für Kardiologie - Austrian Journal of Cardiology 2025; 32 (11-12)
: 276-278
Volltext (PDF)
Abbildungen
Abbildung
Vollbildansicht
MRT
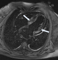
Abbildung 1: MR des Herzens, 4-Kammer-Blick: LGE-Anreicherung im Bereich des Septums und LV (Pfeil)
Keywords:
Hypertrophie
,
LGE
,
MRT
Vollbildansicht
Szintigraphie
Abbildung 2: DPD-Scan, Perugini-Grad-3
Keywords:
DPD-Scan
,
Szintigraphie
Vollbildansicht
Verlauf
Abbildung 3: proBNP-Verlauf seit Erstvorstellung in Monaten
Keywords:
Diagramm
,
Therapie
copyright © 2000–2026
Krause & Pachernegg GmbH
|
Sitemap
|
Datenschutz
|
Impressum
Werbung