Lichtblau L, Badr-Eslam R Aktuelles: Fallbericht: Amyloidose im Verlauf Journal für Kardiologie - Austrian Journal of Cardiology 2025; 32 (11-12): 276-278 Volltext (PDF) Übersicht | ||||||
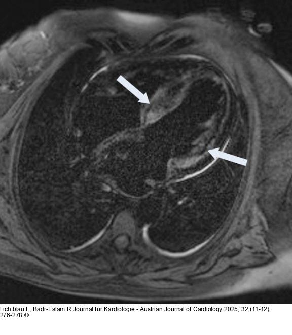
Abbildung 1: MRT MR des Herzens, 4-Kammer-Blick: LGE-Anreicherung im Bereich des Septums und LV (Pfeil) |
Abbildung 1: MRT
MR des Herzens, 4-Kammer-Blick: LGE-Anreicherung im Bereich des Septums und LV (Pfeil) |
