Verlag für Medizin und Wirtschaft
Artikel
Bilder
Volltext
Mobile Version
A-
|
A
|
A+
Werbung
Abo
Bestellung Jahresabonnement (Print/elektronisch)
Bestellung kostenloses e-Journal-Abo
Mediadaten
Journale
News
Datenbanken
Suche Medizinische Publikationen
Suche Abbildungen und Grafiken
Medizinprodukte - Labortechnik
Antidotarium (Stand 2012)
Phytokodex (Stand 2012)
Fortbildung
Bücher
Fachbücher
Patientenliteratur
Impressum
Offenlegung
Kontakt
Disclaimers & Copyright
Allgemeine Geschäftsbedingungen
Datenschutzerklärung
Sitemap
Abbildungen und Graphiken
Deinsberger R
Stereotaktische Radiochirurgie mit dem Linearbeschleuniger
Journal für Neurologie, Neurochirurgie und Psychiatrie 2003; 4 (3)
: 16-20
Volltext (PDF)
Summary
Abbildungen
Abbildung
Vollbildansicht
Linearbeschleuniger
Abbildung 1: Linearbeschleuniger mit stereotaktischem Subsystem
Keywords:
Foto
,
Linearbeschleuniger
,
Neurochirurgie
,
Radiochirurgie
Vollbildansicht
Linearbeschleuniger
Abbildung 2: Dreidimensionales Planungssystem
Keywords:
Linearbeschleuniger
,
Neurochirurgie
,
Planungssystem
,
Schema
Vollbildansicht
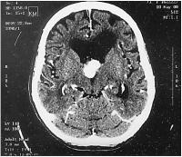
Hypernephrom-Metastase
Abbildung 3: Metastase eines Hypernephroms
Keywords:
Hypernephrom
,
Magnetresonanztomographie
,
Metastase
,
Neurochirurgie
Vollbildansicht
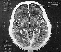
Hypernephrom-Metastase
Abbildung 4: Restläsion 12 Monate nach Radiochirurgie
Keywords:
Hypernephrom
,
Magnetresonanztomographie
,
Metastase
,
Neurochirurgie
,
Radiochirurgie
copyright © 2000–2026
Krause & Pachernegg GmbH
|
Sitemap
|
Datenschutz
|
Impressum
Werbung