Verlag für Medizin und Wirtschaft
Artikel
Bilder
Volltext
Mobile Version
A-
|
A
|
A+
Werbung
Abo
Bestellung Jahresabonnement (Print/elektronisch)
Bestellung kostenloses e-Journal-Abo
Mediadaten
Journale
News
Datenbanken
Suche Medizinische Publikationen
Suche Abbildungen und Grafiken
Medizinprodukte - Labortechnik
Antidotarium (Stand 2012)
Phytokodex (Stand 2012)
Fortbildung
Bücher
Fachbücher
Patientenliteratur
Impressum
Offenlegung
Kontakt
Disclaimers & Copyright
Allgemeine Geschäftsbedingungen
Datenschutzerklärung
Sitemap
Deinsberger R
Stereotaktische Radiochirurgie mit dem Linearbeschleuniger
Journal für Neurologie, Neurochirurgie und Psychiatrie 2003; 4 (3)
: 16-20
Volltext (PDF)
Summary
Übersicht
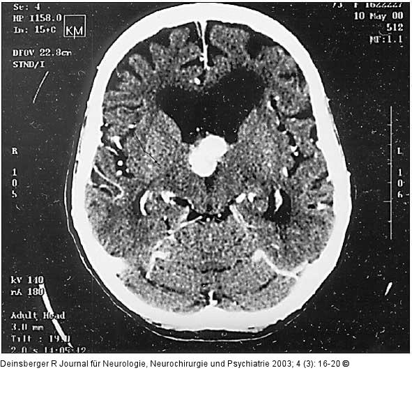
Abbildung 3: Hypernephrom-Metastase
Metastase eines Hypernephroms
Vorheriges Bild
Nächstes Bild
Abbildung 3: Hypernephrom-Metastase
Metastase eines Hypernephroms
copyright © 2000–2026
Krause & Pachernegg GmbH
|
Sitemap
|
Datenschutz
|
Impressum
Werbung