Krause und Pachernegg
Verlag für Medizin und Wirtschaft
Artikel   Bilder   Volltext

Mobile Version
A-  |   A  |   A+
Werbung
 
Abbildungen und Graphiken
Zartner P et al.  
Digitale Herzschrittmacher in der Kinderkardiologie

Journal für Kardiologie - Austrian Journal of Cardiology 2004; 11 (1-2): 53-56

Volltext (PDF)    Summary    Abbildungen   


Abbildung
 
Herzschrittmacher - Kinderkardiologie
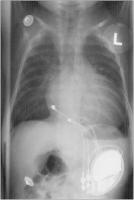
Abbildung 1: Größenverhältnis eines Zweikammerschrittmachers mit unipolaren epikardialen Elektroden bei einem 3 Monate alten Säugling. Der Patient hatte nach einer Korrektur eines AV-Kanals einen kompletten AV-Block behalten. 4 Monate später kam es zur Perforation der Schrittmachertasche. Bei einem Gewicht von weniger als 10 kg wurde erfolgreich ein transvenöses bipolares Zweikammerschrittmachersystem implantiert.


Keywords: KardiologieKinderkardiologieRöntgenbildSchrittmacherSäugling
 
 
Herzschrittmacher - Kinderkardiologie
Abbildung 2: Implantationshäufigkeit und Lokalisation von Herzschrittmachern nach Lebensalter. Die Häufigkeit einer Schrittmacheroperation ist im Säuglings- und Kleinkindesalter am höchsten. Ein weiterer "peak" entsteht bei der in der Regel ersten Schrittmacherrevision im Alter von 3 bis 6 Jahren. Die nächste flachere Häufung liegt zwischen dem 10. und 16. Lebensjahr. Spätestens zu diesem Zeitpunkt erfolgt die Umstellung auf ein transvenöses System; lediglich Patienten, die keine systemvenöse Konnektion zum Herz haben (Fontan-Zirkulation), behalten ihre epikardialen Elektroden. Implantationsort: Re. = rechte Schulter mit transvenösen Elektroden; Li. = linke Schulter mit transvenösen Elektroden (nur im Fall von linksseitigen Gefäßkomplikationen); Abd. = abdominell mit epikardialen Elektroden; Komb. = kombinierte epikardiale und transvenöse Elektroden.


Keywords: AlterDiagrammHerzschrittmacherImplantationKardiologieKinderkardiologie
 
 
Herzschrittmacher - Kinderkardiologie
Abbildung 3: Kaplan-Meier-Kurve für Schrittmacher in der Kinderkardiologie. Schrittmacherlaufzeit von 91 explantierten Aggregaten. Nach initialem "Ausfall" einiger Schrittmachersysteme mit Frühversagen oder Versterben des Patienten kommt es zu einem annähernd linearen Verlauf der Kurve. Häufig erreichen die Aggregate nicht die batteriebedingten Austauschkriterien, sondern werden schon vorher im Rahmen von Herzoperationen oder Optimierung des Schrittmachersystems gewechselt.


Keywords: DiagrammKaplan-Meier-KurveKardiologieKinderkardiologieSchrittmacher
 
 
Schrittmacher - Reizschwellentest
Abbildung 4: Ergebnis der automatischen Reizschwellentests


Keywords: KardiologieKinderkardiologieReizschwellentestSchrittmacher
 
 
Schrittmacher - Reizschwellentest
Abbildung 5: Automatischer Reizschwellentest. Die Amplitude wird bei der programmierten Impulsbreite schrittweise reduziert, bis es zur insuffizienten Stimulation kommt. Die gedruckte Dokumentation ist störungsfrei und enthält die relevanten Daten inklusive Marker-EKG und IEGM.


Keywords: HerzschrittmacherKardiologieKinderkardiologieReizschwellentest
 
 
Herzschrittmacher - Vorhoftachykardie
Abbildung 6: Lückenlose Aufzeichnung und Interpretation der Vorhofaktionen ermöglichen einen physiologischen Abgleich der Herzfrequenz im Fall spontaner Vorhoftachykardien.


Keywords: DiagrammHerzfrequenzHerzschrittmacherKardiologieKinderkardiologieVorhoftachykardie
 
 
 
copyright © 2000–2026 Krause & Pachernegg GmbH | Sitemap | Datenschutz | Impressum
 
Werbung